Stanford Professor’s Research Discovers Pattern of Brain Damage in Witnesses’ of UAPs

Garry Nolan’s studies have shown that many witnesses of UAP events have scarring in their brain that somewhat resembles 'white spots’ caused by multiple sclerosis. Is this brain damage caused by the UAPs themselves or is it a preexisting condition that makes victims more susceptible to experiencing the phenomena?

Who is Professor Gary Nolan?

Professor Garry Nolan is a renowned scientist and professor in the field of microbiology and immunology. He is associated with Stanford University School of Medicine, where he holds the Rachford and Carlota A. Harris Professorship. Professor Nolan is particularly well-known for his groundbreaking work in the fields of immunology, cell biology, and systems biology.

Throughout his career, Professor Nolan has made significant contributions to the understanding of the immune system and cellular processes. His research often involves the use of advanced technologies, such as flow cytometry and mass cytometry, to analyze and characterize individual cells with great precision. His expertise in these techniques has led to a deeper understanding of the immune response, cancer biology, and other related areas.

In addition to his research, Professor Garry Nolan is actively involved in teaching and mentoring students. He has played a pivotal role in training the next generation of scientists and has been recognized for his dedication to education.

Garry Nolan’s Research into the Brains of UAP Experiencers

In an interview with Vice, Garry Nolan explained that the brains of people who had witnessed UAP show signs of damage that appears on scans in a similar way to multiple sclerosis.

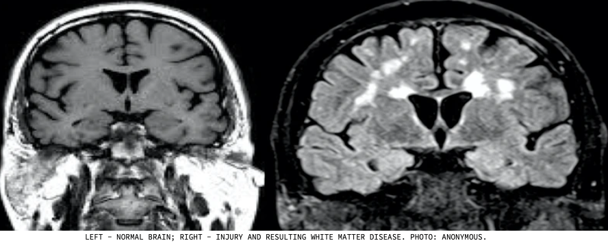
A normal brain scan verses a brain scan of someone with MS

When we use MRIs to look at the brains of people with certain conditions like multiple sclerosis, we can see something called white matter disease. This shows up as white blobs on the MRI, and it's basically scarring or dead tissue. It happens because the immune system mistakenly attacks the brain.

Nolan noticed something interesting when studying the brain scans of UAP experiencers. Initially, they thought there was damage in a specific part of the brain that controls essential functions like movement. However, upon closer examination, they realized it couldn't be damage because severe damage there would be fatal. Instead, they discovered these individuals had an excess of connections between certain brain structures.

Brain scans of UAP Experiencers

In simpler terms, these people had too many connections between different parts of their brains, specifically the caudate and the putamen, which are crucial for higher brain functions and motor planning. This wasn't something typically seen in the general population. Interestingly, some individuals had this unique brain pattern from an early age, as shown in MRIs from previous years. It seemed like they were born with this special feature.

The area of the brain with these extra connections is linked to intuition, the ability to make quick and clever decisions. Garry Nolan found that high-functioning individuals, like pilots and intelligence officers, often had this unique brain setup. The question remained whether this trait was caused by something they came into contact with or if it was an inherent characteristic.

Normally, people have a density level of 1x in this region, but many in the study had much higher levels—5x to 15x. They wondered if this higher density might be linked to how the neurons work. They specifically checked if people who claimed encounters, especially pilots, noticed any changes in their brain function.

Among the 100 patients studied, about a quarter died from their injuries, and most had symptoms similar to what's now called Havana syndrome. The researchers believe some of these cases were the first instances of Havana syndrome. When it became a national security issue, access to files was restricted to prevent international incidents.

However, some individuals who saw Unidentified Aerial Phenomena (UAPs) didn't have Havana syndrome but had various other symptoms. The researchers are exploring how electromagnetic frequencies might be related to what happened. For instance, in one case on the Skinwalker Ranch, they could estimate the energy required for the electromagnetic wave that caused damage deep in the brain. They think this is unrelated to UAPs and likely involves a state actor connected to Havana syndrome.

Nolan’s Conclusions

In the analysis of the patients, apart from MRIs, a deep psychological evaluation was conducted to ensure the stability of the individuals and rule out any obvious delusions. The primary focus of the researcher's role was using a device called CyTOF to analyze blood. However, the challenge was that many cases occurred years before obtaining the blood samples, making it difficult to draw conclusive results. Nolan emphasized the need for access to blood during the acute phase of the injury, typically within a few days or weeks.

Regarding potential causes of the observed brain impact, Nolan speculated that the only man-made scenario he could imagine was being near an electric transformer emitting intense energy, essentially causing internal burns.

When asked about the research goal—whether it's documenting observations or seeking a cause—the researcher explained that scientific inquiry follows a natural progression: first cataloging, then organizing, and finally exploring causes with sufficient data.

The researcher emphasized the importance of avoiding premature conclusions, acknowledging the abundance of hypotheses that are not proof. While Nola has personal thoughts about the situation, they remain open to the possibility of being wrong, but often feel confident in his assessments based on accumulated data.

Garry Nolan discusses his research

What are your thoughts on this research? Tell us about it in the comments.


If you enjoyed this article you might be interested in more scientific paranormal research such as paranormal gaze detection or the galactic superwave prediction.

Previous
Previous

Gary Sudbrink Receives Several Unexplainable Phone Calls

Next
Next

The Newmill Green Blob UFO